
Degeneración macular relacionada a edad (DMRE)
¿QUÉ ES?
¿Por qué se produce?
¿Cómo se puede prevenir?
Tratamiento
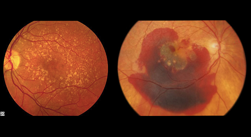
En el caso de una DMRE húmeda puede ser tratada con inyecciones intravítreas de fármacos antiangiogénicos, que actúen inhibiendo el factor de crecimiento endotelial vascular (anti-VEGF), para así impedir la formación de nuevos vasos sanguíneos anómalos. De este modo, se permite frenar la enfermedad y lograr que la mayoría de pacientes puedan mantener e, incluso, recuperar la visión. Mientras antes se inicia el tratamiento intravítreo, mejor será el pronóstico visual.
Respecto a la DMRE seca, actualmente no tiene un tratamiento etiológico efectivo, solo se puede prescribir algunos suplementos de vitaminas antioxidantes, que ayuden a proteger la retina.



