
Desprendimiento de Retina
¿QUÉ ES?
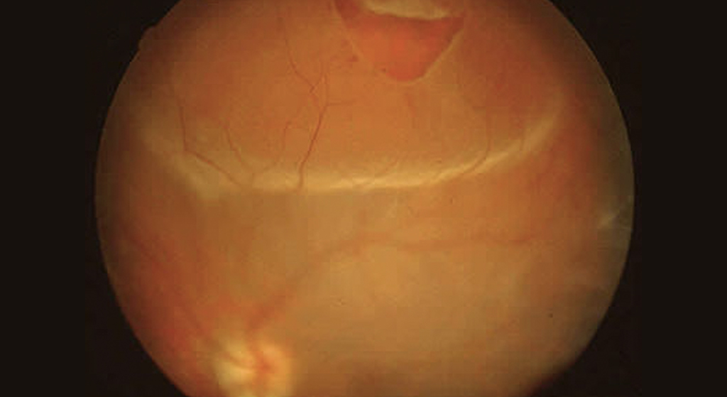
Consiste por la separación espontánea de la retina neurosensorial (capa interna de la retina) del epitelio pigmentado (capa externa) por un desgarro que no causa dolor y, en muchos casos, no va acompañado al inicio de pérdida de visión, por ello es importante estar alerta ante los síntomas de alarma como visión de moscas volantes, visión de destellos luminosos, distorsión de las imágenes, en el caso de experimentar la visión de una cortina negra que cae por alguna zona del campo visual, es señal de que ya existe un desprendimiento de retina, por lo que la consulta con un oftalmólogo debe ser inmediata.
¿Por qué se produce?
Se produce por la separación espontánea de la retina neurosensorial (capa interna de la retina) del epitelio pigmentado (capa externa), a medida que envejecemos, el vítreo se encoge y tira la retina. Por lo general, el vítreo se separa de la retina sin ocasionar problemas, aunque a veces tira con demasiada fuerza y rompe la retina en uno o más lugares, lo que permite al liquido pasar a través de estos desgarros, separando la parte sensorial del epitelio pigmentado.
¿Cómo se puede prevenir?
Es importante que la población de riesgo: miopes, post operados de catarata, pacientes con antecedentes de desprendimiento retinal en el ojo contralateral o con antecedentes familiares de desprendimiento retinal, se someta a revisiones oculares periódicas. Además, la aparición súbita de moscas volantes o un aumento brusco de las ya existentes, así como la aparición de destellos luminosos, debe ser motivo de consulta urgente con un oftalmólogo. Vale destacar que es muy aconsejable realizar un tratamiento preventivo con láser cuando existen desgarros retinales aunque aún no hayan provocado un desprendimiento. El láser también es útil para pacientes altos miopes, con lesiones degenerativas retinianas periféricas como lattice que pueden terminar en un desgarro o agujero.
Tratamiento
El tratamiento recomendado es quirúrgico
- Fotocoagulación con láser
- Retinopexia pneumática
- Vitrectomía
- Cerclaje escleral



